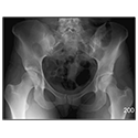
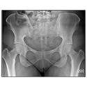
PELVIS

Interactive Modules

Anatomical Illustrations

Interactive Radiology

3D Reconstructions